Intervju s dr. Miletićem iz Pupillam poliklinike

Svjetski dan zdravlja: Ateroskleroza svjetski ubojica broj jedan

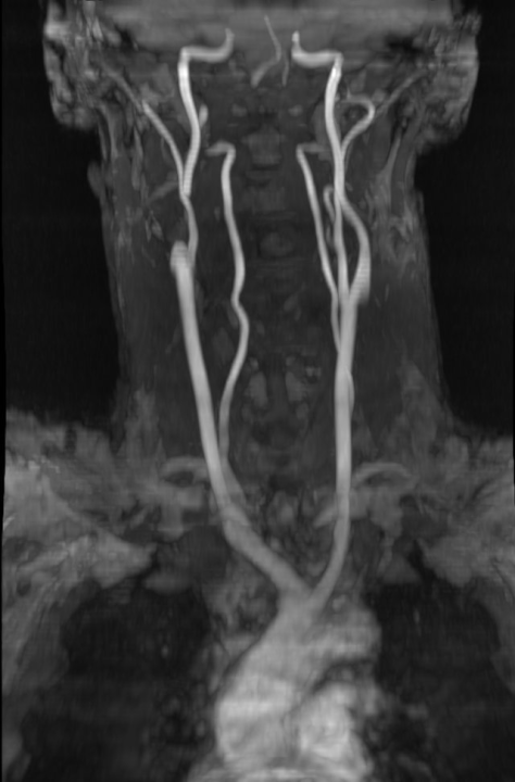
Povodom svjetskog dana zdravlja o aterosklerozi kao najvećim javnozdravstvenim problemom i vodećim uzrokom bolesti i smrti na svijetu, pričali smo s doktorom specijalistom neurologije dr.
4 / 5
Oglas

Imaš vijest?

Imaš informaciju iz prve ruke, fotografiju, video, dobru ideju ili te nešto muči?

PODIJELI S NAMA!
Oglas
/ IZ KATEGORIJE
Oglas