ZATVORI OGLAS
X
subota - 23.05.2026
20.4℃
Osmrtnice
Kalendar događanja
Radovi u tijeku
Poslovni adresar
Pretraga
Najnovije
Vijesti
Županija
Scena
Sport
Kultura
Magazin
Kolumne
Promo
Foto
Video
Vijesti
Najnovije
Šibenik
Hrvatska
EU
Svijet
Vremenska prognoza
Crna kronika
Đir po gradu
Klimatske promjene
Županija
Vodice
Tribunj
Knin
Drniš
Skradin
Otok Murter
Pirovac
Primošten
Rogoznica
Scena
Showbiz
Noćni život
Glazba
Festivali
Televizija
Sport
Nogomet
Košarka
Rukomet
Borilački sportovi
Vaterpolo
Tenis
Ostali sportovi
Kultura
Tvrđava kulture
Kazalište
Film
Književnost
Izložbe
Baština
Magazin
Shopping
Moda i ljepota
Zdravlje
Tehnologija
Auto-moto
Gastronomija
Dom i obitelj
Ljubav i veze
Horoskop
Ljubimci
Zanimljivosti
Kolumne
Šibenski bonkulović
Zaboravljeni Šibenik
Good Film Hunting
Mislim svoje
Šibenska mišanca
ŠibenikIN Plus
Osmrtnice
Kalendar događanja
Radovi u tijeku
Poslovni adresar
ZATVORI OGLAS
Oglas
Naslovnica
Magazin
Zdravlje
Povratak na članak
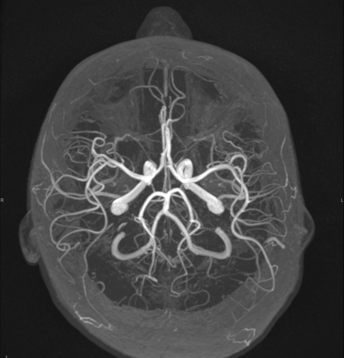
Od 11. ožujka
Tijekom Tjedna mozga Poliklinika Affidea Vita daje 20 posto popusta na magnetsku rezonancu!
ŠibenikIN promo
08.03.2024 @ 12:20
Povodom obilježavanja Tjedna mozga od 11.
5 / 8
Podijeli
tjedan mozga
MR mozga
MR angiografija
/ FOTO
/ VIDEO
Osmrtnice
Kalendar događanja
Radovi u tijeku
Poslovni adresar