Od 11. ožujka

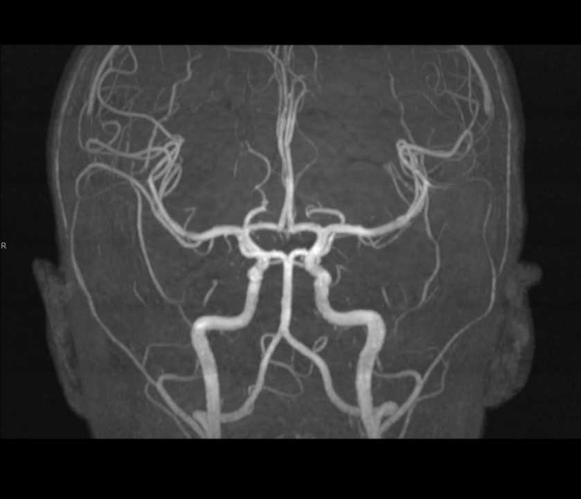
Tijekom Tjedna mozga Poliklinika Affidea Vita daje 20 posto popusta na magnetsku rezonancu!

Povodom obilježavanja Tjedna mozga od 11.
4 / 8
Oglas

Imaš vijest?

Imaš informaciju iz prve ruke, fotografiju, video, dobru ideju ili te nešto muči?

PODIJELI S NAMA!
Oglas
/ IZ KATEGORIJE
Oglas